Atractosporocybe inornata
(Sowerby) P. Alvarado, G. Moreno & Vizzini (2015)Neokrašeni lijaček
Podrobnosti
Značilno
Srednje velika do večja sivkasta lističarka z razmeroma mehkim klobukom, sivimi lističi in belim trosnim prahom. Vrsta je makroskopsko podobna vrstam iz rodu Clitocybe, a jo odlikujejo dolge vretenaste – fusiformne spore in specifična filogenetska umestitev v novi rod Atractosporocybe. To je saprotrofna gliva, ki razkraja organske snovi v gozdni stelji. V naravi je redko opažena in kot takšna slabo dokumentirana.
Klobuk
2–6 cm v premeru, sprva izbočen, nato sploščen in raven ali rahlo ugreznjen, pogosto s topo grbo. Površina je gladka in suha, svetlo siva do pepelnato siva ali sivorjava. Rob je raven ali rahlo valovit, običajno svetlejši.
Trosovnica
Lističi so sivi, srednje gosti in priraščeni do rahlo izrezani na bet. Ostrinka ni kontrastna in ni posebnih barvnih značilnosti.
Bet
3–7 cm dolg, 0.5–1 cm debel, valjast in pogosto rahlo ekscentričen glede na klobuk, brez obročka. Barva beta je podobna klobuku ali nekoliko svetlejša, površina gladka.
Meso
Belkasto do svetlo sivkasto, tanko, brez izrazitega vonja ali okusa. Opisi vonja so različno interpretirani, pogosto ga ne omenjajo kot izrazitega.
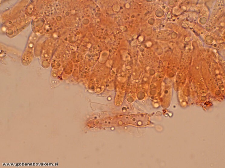
Trosi
Trosi so dolgi, vretenasti (fusiformne) do podolgovati, gladki, hialini (brezbarvne), kar je ena od taksonomsko pomembnejših značilnosti tega rodu in vrste. Trosni prah je bel.
Rastišče
Raste na tleh v gozdovih – predvsem v listnatih in mešanih gozdovih, ponekod tudi v iglastih, pojavljajo se posamično ali v manjših skupinah in večinoma po jesenskih padavinah, redka.
Uporabnost
Neužiten. Ni znanih podatkov o užitnosti ali zdravilni uporabi. Zaradi podobnosti z drugimi glivami in redkosti njenega pojavljanja je nabiranje nepriporočljivo.
Izvor imena
Latinsko- epitet inornata izhaja iz inornatus = “neokrašen, nepoudarjen”, kar se nanaša na nevpadljiv, skromen videz v primerjavi z drugimi vrstami. Ime rodu Atractosporocybe pa izhaja iz grških besed za “vretenasti trosi” (atractos) in “klobuk” (cybe), kar poudarja morfološko značilnost trosov.
Zanimivosti
Vrsta je tipična vrsta rodu Atractosporocybe, ki je bila ločena iz Clitocybe na podlagi molekularnih analiz (ITS, 18S, LSU, tef1, rpb2) in morfoloških značilnosti, predvsem fusiformnih spor.
Zapisana je bila kot Agaricus inornatus že v 19. stoletju, kasneje kot Clitocybe inornata in šele leta 2015 premeščena v rod Atractosporocybe.
Zaradi pomanjkanja obsežnih podatkov je lahko določanje vrste v naravi težavno in jo je pogosto težko ločiti od sorodnih sivih gob brez mikroskopije ali molekularnih metod.
V nekaterih državah (npr. Nemčija, Italija, Češka) so ocene zelo omejenih števil najdb in podatki o ogroženosti pod sinonimom Clitocybe inornata, kar kaže na relativno redko pojavljanje.
Viri
Primarni vir (taksonomija + spolne značilnosti):
Alvarado, P., Moreno, G. & Vizzini, A. (2015): Atractosporocybe, Leucocybe and Rhizocybe: three new clitocyboid genera in the Tricholomatoid clade (Agaricales). Mycologia 107(1).
Sekundarni opisni in potrditev virov:
Atractosporocybe inornata, MycoBank / Index Fungorum – taksonomski status in sinonimi.
Mycopedia.ch – kratki opis morfoloških značilnosti (klobuk, lističi, spore).
Red List assessments – ekološki / razširjenostni podatki v Evropi pod sinonimom Clitocybe inornata.
Spada med
Saprofitne gobe














