Byssomerulius corium
(Pers.) Parmasto (1967)Oranžni pokrivač
Podrobnosti
Značilno
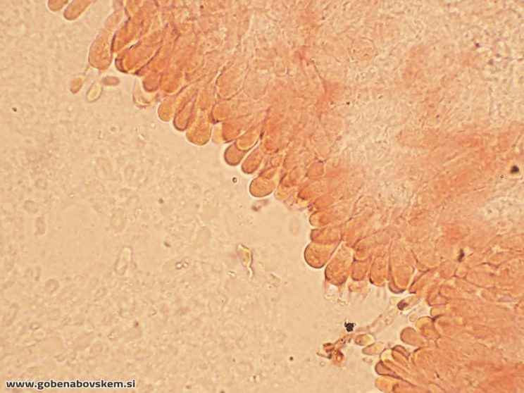
Trosnjak razprostrt, tesno priraščen na podlago, mehak do usnjat, v mladosti svetel in belkast do krem, pozneje oranžen do oranžno rjav. Površina je nagubana do nepravilno porasta. Trosovnica je neenakomerna, mestoma poroidna ali merulioidna, rob tanek, belkast, pri sušenju zbledi.
Trosovnica
Na površini trosnjaka, sprva gladka, nato nagubana, gubasto razpokana do merulioidna (specifično nagubana), lahko tudi z nepravilnimi porami, krem do oranžna.
Meso
Zelo tanko, mehko, nekoliko usnjato, belkasto do svetlo oranžno, brez posebnega vonja ali okusa, ob rezu brez barvnih sprememb, pri sušenju postane trdo in krhko.
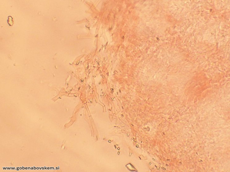
Trosi
5-6 x 2.5-3.5 µm, valjasto elipsasti, gladki, hialini.
Rastišče
Raste na spodnjih straneh odmrlih vej različnih listavcev, vse leto.
Uporabnost
Neužiten.
Opombe
Zelo spremenljiva vrsta, ki lahko tvori gladke, nagubane ali poroidne trosnjake, zato jo je težko določiti brez mikroskopa, pogosto jo zamenjujejo z drugimi razprostrtimi skorjastimi glivami.
Izvor imena
Zanimivosti
Vrsta spada med zelo pogoste, a pogosto spregledane skorjaste glive, pomembna je pri razgradnji lesa, nove molekularne raziskave so pokazale, da je rod Byssomerulius soroden nekaterim merulioidnim glivam iz reda luknjičarjev (Polyporales), vrsta pa kaže veliko morfološko variabilnost glede na vlago in podlago.
Angleško ime je Netted Crust.
Viri
- Parmasto E., 1967: Conspectus Systematis Corticiacearum.
- Eriksson & Ryvarden. Corticiaceae of North Europe. 1973–1976
- Bernicchia A., Gorjón S., 2010: Corticiaceae s.l.
- Index Fungorum, 2025
- MycoBank, 2025
Spada med
Lesne gobe, Saprofitne gobe
























