Pluteus pouzarianus
Singer (1983)Pouzarjeva ščitovka
Podrobnosti
Značilno
Srednje velika do velika ščitovka z bledo kremasto do svetlo rjavo obarvanim klobukom, ki je sprva izbočen, kasneje sploščen, lističi rožnati in na bet prosti, bet je valjast, bel do bledo rjavkast, gladek, klobuk in bet rahlo vlaknasta. Prepoznamo jo po prostih rožnatih lističih in bledo kremasti barvi klobuka, ki ob staranju rahlo potemni.
Klobuk
4–10 cm širok, sprva polkrožen, kasneje izbočen do sploščen, pogosto rahlo udrt na sredini. Površina gladka do rahlo vlaknata, suha ali rahlo vlažna, kremasta do svetlo rjava, pogosto nekoliko temnejša proti sredini. Rob tanek, mlad klobuk pogosto rahlo zavihan.
Trosovnica
Lističi rožnati do svetlo rožnati, srednje gosti, prosti. Ostrinka je gladka. Ob zorenju trosov postanejo temnejši.
Bet
5–10 cm dolg, valjast, čvrst, bel do bledo rjavkast, gladek ali rahlo vlaknat, brez obročka.
Meso
Belo, tanko, krhko. Vonj blag, prijeten, okus blag do rahlo zemeljski.
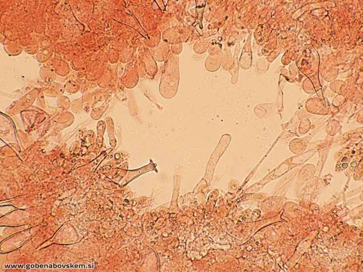
Trosi
6–9 × 4–6 µm, elipsasti, gladki. Trosni prah (svetlo) rožnat.
Rastišče
Saprotrofna vrsta raste na odmrlem lesu listavcev, pogosto na hrastu ali bukvi, posamično ali v manjših skupinah, od poletja do pozne jeseni.
Uporabnost
Neužitna ali slabše ocenjena zaradi tanke mesnatosti in majhnega volumna.
Opombe
Vrsta je sorodna drugim ščitovkam s prostimi lističi, npr. jelenovi (Pluteus cervinus), vendar jo ločimo po svetlejših kremastih tonih klobuka in betu ter prostih lističih. Mikroskopske značilnosti trosov so pomembne za natančno določitev.
Izvor imena
Vrsta je poimenovana po mykologu Pouzarju, ki je prispeval pomembne raziskave rodu Pluteus.
Zanimivosti
Raste predvsem na svežem odmrlem lesu in prispeva k razgradnji lignina in celuloze v gozdovih.
Viri
- Singer, R. (1983): monografija rodu Pluteus s sodobno taksonomsko obravnavo.
- Kirk, P.M., Cannon, P.F., Minter, D.W., Stalpers, J.A. (2008) Dictionary of the Fungi, 10th Edition.
- Mykoweb – sodobna baza taksonomskih imen in sinonimov Pluteus vrst.
Spada med
Lesne gobe, Saprofitne gobe















